専門医制度
2020(R2)年度 腎臓専門医更新のためのセルフトレーニングの解答と解説
腎臓専門医の皆様へ
昨年11/6付で掲載いたしました2020(R2)年度セルフトレーニング問題の正解と解説を掲載いたします。
ご多忙のなか約480 名の応募がありました。ご協力をいただき誠にありがとうございました。
採点結果は3月中旬頃(予定)に「郵送」いたします。
メールでご応募いただいた先生におかれましても当初の予定と変更となり申し訳ございませんがご了承下さいますようお願い申し上げます。
海外から応募の先生はメールにてご連絡いたします。
ご不明な点がありましたら,担当の西村(nishimura@jsn.or.jp)までご連絡下さい。
※手数料2,000 円はいかなる場合も返金出来かねますこともご了承下さい。
教育・専門医制度委員会
委員長:鈴木 祐介
委員:門川俊明、和田健彦、田中哲洋
出題者(五十音順): 赤井靖宏,大橋温,小山雄太,小松康宏,今田恒夫,齋藤修,志水英明,竹田徹朗,土井研人,西慎一,西野友哉,花岡一成,平和伸仁,本田一穂,和田健彦
48歳女性。近医にて糖尿病と診断され、教育入院のために受診した。既往歴に両側難聴と数回のけいれん発作がある。家族歴として、母親と兄に糖尿病、腎不全、心筋症の既往があり、いずれも40歳代で死亡している。診察では低身長を認める。入院時血液検査所見:クレアチニン 1.32㎎/dl、eGFR 34.8ml/分/1.73㎡、HbA1c 8.0%、安静時乳酸値 30㎎/dl(正常 1-16㎎/dl)。
本症例で合併しやすい腎臓病はどれか。
| 1 | IgA腎症 |
| 2 | 膜性腎症 |
| 3 | 多発性嚢胞腎 |
| 4 | Fanconi症候群 |
| 5 | 巣状分節性糸球体硬化症 |
| a (1,2) | b (1,5) | c (2,3) | d (3,4) | e (4,5) |
解答:e (4,5)
解説
本症例は、糖尿病、難聴、けいれんの既往、腎不全の存在、血清乳酸値の上昇等からミトコンドリア病が疑われる。ミトコンドリア病の腎障害として、Fanconi症候群、ネフローゼ症候群、巣状分節性糸球体硬化症がしばしばみられる。腎嚢胞の多発やIgA腎症の発症は一般的でない。したがって回答は4と5のe
問題2.
巣状分節性糸球体硬化症(FSGS)に関して正しいのはどれか。
| 1 | コロンビア分類による亜型診断ではTip variant亜型の頻度が最も高い |
| 2 | コロンビア分類ではCellular variant亜型をまず除外する |
| 3 | FSGSの液性因子候補の一つとして抗CD40抗体が報告されている |
| 4 | アフリカ系米国人のFSGSではアジア人のFSGSに比べてAPOL1遺伝子異常が関与することが多い |
| 5 | 遺伝子異常を伴う小児FSGSの免疫抑制薬の反応性は良好である |
| a (1,2) | b (1,5) | c (2,3) | d (3,4) | e (4,5) |
解答:d(3,4)
解説
FSGSに関する病理と病因に関する基礎的問題である。コロンビア分類でまず除外するのはCollapsing variantである。コロンビア分類の亜型で頻度が高いのはNOSである。FSGSの液性因子抗体として抗CD40抗体が一つの候補として報告されている。アフリカ系米国人のFSGSにはAPOL1遺伝子異常と環境因子が関与することが知られている。遺伝子変異陽性の小児FSGSでは免疫抑制薬に対する反応性は低い。
問題3.
原発性クリオグロブリン血症性糸球体腎炎の腎病理で認められる所見はどれか。
| 1 | フィブリノイド壊死 |
| 2 | hump |
| 3 | ヘマトキシリン体 |
| 4 | 管内増殖性変化 |
| 5 | 基底膜の二重化 |
| a (1,2,3) | b (1,2,5) | c (1,4,5) | d (2,3,4) | e (3,4,5) |
解答:c (1,4,5)
解説
クリオグロブリン血症は約半数が無症候性の血尿・蛋白尿で約20%がネフローゼ症候群、30%が急性腎炎症候を呈する。Ⅰ型、Ⅱ型、Ⅲ型があり免疫複合体の沈着による典型的な糸球体腎炎はⅡ型で見られやすく、8割の症例で膜性増殖性糸球体腎炎Ⅰ型の像として管内細胞増多、糸球体基底膜の二重化、メサンギウム間入等が認められる。補体を活性化させることによる小血管炎であり血管炎は細動脈、小葉間動脈のほか傍尿細管血管や直血管にも観察されることがある。humpは溶連菌感染、ヘマトキシリン体はループス腎炎で認められる特徴的な所見である、腎炎で低補体血症を認めた際に鑑別すべき疾患である。
参考文献
腎生検病理アトラス改訂版 日本腎病理協会 日本腎臓学会 (編集) 東京医学社
問題4.
70歳の女性。血圧上昇、血小板減少と腎機能悪化のため来院した。60歳頃から足趾の レイノー症状を認めた。65歳から間質性肺炎を発症し、少量のステロイド内服が開始された。1ヶ月前、血清クレアチニン 0.67mg/dL、血小板 15万、LD 330U/Lであった。2週間前から手指・足趾の壊死を認め、血圧 160-200/100-120mmHgへ上昇した。3日前の血液検査で血清クレアチニン 1.25mg/dL、血小板 6.5万、LD 800U/Lとなったため紹介され来院した。
現症:脈拍 100/分、整。血圧 160/110mmHg。両側下肺野にfine crackleを聴取する。 下腿に浮腫を軽度認める。手指・足趾の壊死を認める。
検査所見:尿所見:蛋白 1+、潜血 ±。血液学所見:赤血球 370万、Hb 12.0g/dL、破砕赤血球を認める。白血球 9,000、血小板 4.7万。プロトロンビン時間 12.0秒、活性化部分トロンボプラスチン時間 36.0秒、フィブリノゲン 280mg/dL。血液生化学所見:総蛋白 6.3g/dL、アルブミン 2.8g/dL、尿素窒素 42mg/dL、クレアチニン 2.8mg/dL、尿酸 8.0mg/dL、総ビリルビン 1.0mg/dL、AST 80IU/L、ALT 25IU/L、LD 1,600IU/L。血漿レニン活性 13.0ng/mL/時(基準 0.5-2.0、臥位)、アルドステロン 1,470ng/dL(基準 30-160)。免疫血清学所見:CRP 2.65mg/dL、CH50 40U/mL(基準 25.0-48.0)、抗核抗体 <40倍、抗ds-DNA抗体 <10IU/mL、抗トポイソメラーゼI(Scl70)抗体 12.0U/mL(基準 <7.0)、抗RNAポリメラーゼIII抗体 45 (基準 <28)、MPO-ANCA <1.0U/mL、PR3-ANCA <1.0U/mL、 ADAMTS13 活性 80% (基準 50-150) 便培養: 有意菌の検出なし。胸部単純CT: 両側下肺野にすりガラス陰影を認める。
腎障害の原因として考えられるのはどれか、1つ選べ。
| a | ループス腎炎 |
| b | 強皮症腎クリーゼ |
| c | 溶血性尿毒症症候群 |
| d | 顕微鏡的多発血管炎 |
| e | 血栓性血小板減少性紫斑病 |
解答:b
解説
強皮症に伴う腎障害では、強皮症腎クリーゼなのかANCA関連腎炎なのかの診断は、その後の治療法の選択にも大きく影響するため、迅速かつ適切な診断が必要である。
(a)全身性エリテマトーデスで間質性肺炎を生じる頻度は低く、抗核抗体や抗ds-DNA抗体陰性なこと、補体値が正常なことからループス腎炎は考えにくい。
(b) レイノー症状、間質性肺炎、抗トポイソメラーゼI抗体や抗RNAポリメラーゼIII抗体陽性などから強皮症と診断できる。著明な血圧上昇も伴っており、強皮症腎クリーゼに合致する。一方、蛋白尿や血尿に乏しくANCAも陰性であることから、ANCA関連腎炎の可能性は低い。
(c)下痢などの消化器症状を認めなかったこと、便培養で有意菌の検出を認めなかったことから否定的である。
(d)顕微鏡的多発血管炎は、手指・足趾の壊死や間質性肺炎などは合致するものの、血小板減少や破砕赤血球陽性やLD上昇など、血栓性微小血管症を説明出来ず、また蛋白尿や血尿など糸球体障害を示唆する所見に乏しいことも顕微鏡的多発血管炎に合致しない。
(e)ADMATS13活性の低下がなく、血栓性血小板減少性紫斑病は否定的である。
問題5.
17歳女子。発熱と眼痛を主訴に来院した。3週前から37℃後半の発熱があり、倦怠感や全身の関節痛が出現し、次第に進行してきた。食思不振があり、3週間で体重が2kg減少した。5日前から両眼の痛みと視力障害を自覚したため、近医を受診。両側前部ぶどう膜炎と診断され、内科疾患を疑われて当院を受診した。常用薬はない。
既往歴:特になし。家族歴:特になし。
現症:体温 37.7℃。脈拍 85/分、整。血圧 100/60mmHg。
検査所見:尿所見:蛋白 1+、糖 (-)、潜血 1+。沈渣に赤血球 10~15/視野、白血球 8~10/視野、尿中β2ミクログロブリン 2200μg/L、尿中NAG 18.2U/L。血液生化学所見:総蛋白 6.4g/dL、アルブミン 3.0g/dL、尿素窒素 22mg/dL、クレアチニン 1.3mg/dL。免疫血清学所見:CRP 1.1mg/dL、抗核抗体 40倍未満、補体正常。腎生検では急性尿細管間質性腎炎を呈していた。
この疾患について正しいのはどれか。
| 1 | 男性に好発する。 |
| 2 | 腎病変の自然寛解は期待できない。 |
| 3 | 進行性の場合にはステロイドが有効である。 |
| 4 | 一部の症例では腎組織内に非乾酪性肉芽種を認める。 |
| 5 | ぶどう膜炎は尿細管間質性腎炎より遅れて発症することはない。 |
| a (1,2) | b (1,5) | c (2,3) | d (3,4) | e (4,5) |
解答:d (3,4)
解説
組織学的・臨床的に急性間質性腎炎を呈し、ぶどう膜炎を伴うものをTubulointerstitial nephritis and Uveitis (TINU) syndromeと呼ぶ。発症年齢は15〜47歳で女性に好発する(男女比1:1.6〜3.6)。腎病変についてはself-limitedな経過をたどることもあるとされる。本症例のような非特異的な全身症状を認めるほか、77%で眼痛・充血を、20〜47%で視力低下をきたし、70%以上の症例でぶどう膜炎を両側性に認める。約半数は腎症状と眼症状が同時期に発症し、残りはどちらか一方が先行する。
参考文献
Takemura T, et al. Am J Kidney Dis 1999; 34: 1016-1021
問題6.
肝腎症候群について正しいものはどれか。
| 1 | 血管拡張薬の投与が有効である。 |
| 2 | 尿蛋白 1g/日以上が多い。 |
| 3 | 血清クレアチニン値 1.5㎎/dl以上では予後が悪い。 |
| 4 | 診断基準にアルブミン投与に対する反応性が含まれる。 |
| 5 | International Club of Ascites 2015の診断基準に尿量が含まれる。 |
| a (1,2) | b (1,5) | c (2,3) | d (3,4) | e (4,5) |
解答:d (3,4)
解説
肝腎症候群の診断は、他の増悪因子を除外する必要があることから容易ではなく、その診断基準も変遷を経ている。International Club of Ascites (ICA)が1996年に提唱したものでは、2週間以内に進行するType1とそれよりも腎障害の進展が遅いType2に分類されていたが、2015年にはICAからKDIGOによるAKI診断基準に準じた新たな基準が示された。ただし、尿量基準については触れられていない。2018年にEuropean Association for the Study of the Liver (EASL)が肝硬変診療ガイドラインを発表し、その中では肝腎症候群を血清クレアチニン値1.5mg/dLをカットオフとしてStage 1aとStage 1bに分け、後者については、利尿薬の中止と2日間のアルブミン投与による反応の有無により、肝腎症候群を診断するアルゴリズムが提示された。肝腎症候群の治療はアルブミン投与とバソプレシンなどの血管収縮薬投与が主体である。
問題7.
18歳の男子。背部痛を主訴に来院した。数ヶ月前から、運動後に微熱を伴う腰背部痛があり、いつもは数日で軽快していた。本日、短距離走の後に再び背部痛が出現し、疼痛が改善しないため来院した。既往歴:特記事項なし。家族歴:兄:低尿酸血症。現症:脈拍 64/分、整。血圧 120/70mmHg。腹部に圧痛なし、両背部の肋骨脊柱角に叩打痛を認める。検査所見:尿所見:蛋白 (-)、糖 (-)、潜血 (-)。血液生化学所見:総蛋白 7.6g/dL、アルブミン 4.4g/dL、尿素窒素 36mg/dL、クレアチニン 2.3mg/dL、尿酸 0.9mg/dL、CK 140IU/L、Na 140mEq/L、K 4.4mEq/L、Cl 100mEq/L、Ca 9.9mg/dL、P 4.3mg/dL。超音波検査では異常はなかった。
本例は遺伝的素因があり運動によって急性腎障害を誘発したと考えられる。変異タンパク質はネフロンのどの部位に発現しているか。1つ選べ。
| a | 近位尿細管 |
| b | ヘンレの上行脚 |
| c | 緻密斑 |
| d | 遠位尿細管 |
| e | 集合管 |
解答:a
解説
腎性低尿酸血症を背景にした運動後急性腎障害の症例である。家族性腎性低尿酸血症では尿酸トランスポーターであるURAT1/SLC22A12遺伝子あるいはGLUT9/SLC2A9遺伝子の変異を認めることが多い。両トランスポーターはともに近位尿細管に発現し、尿酸の再吸収を行っている。一般に、FEUAは10%程度であるが、尿酸トランスポーターの変異をホモに持つ腎性低尿酸血症例ではFEUAは100%のこともある。腎性低尿酸血症を背景にして運動後急性腎障害になると、運動の数時間後から1日後に腰や背中の痛み、吐き気、嘔吐、乏尿などの症状が起こる。予後は比較的良好で、一時的に透析が必要になる場合もあるが、1週間~1ヶ月で腎臓の機能は回復する。腎性低尿酸血症例で運動後急性腎障害をきたしやすい原因はよく分かっていないが、これまで提案された仮説としては、活性酸素の関与や腎血管攣縮などがある。
参考文献
日本痛風・尿酸核酸学会監修. 腎性低尿酸血症診療ガイドライン(2017年)
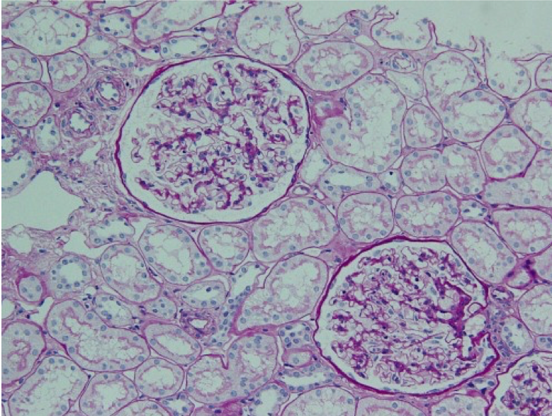
問題8.
既往歴:出生時より両側性に高音域の難聴。中学生の頃から、近視(0.03/0.03程度) となりメガネで矯正(1.0/1.0)している。水晶体や角膜の異常はない。
家族歴:母:糖尿病、弟:疲労時に肉眼的血尿(1回)。
現症:身長 155cm、体重 65kg、体温 36.2℃。脈拍 75/分、整。血圧 118/78mmHg。検査所見:尿所見:蛋白 (-)、糖 (-)、潜血 2+。沈渣に赤血球 10-19/視野、白血球 5-9/視野、硝子円柱 1+、顆粒円柱 (-)。血液学所見:赤血球 426 万、Hb 13.8g/dL 白血球 5960、血小板 29.5 万。血液生化学所見:HbA1c 5.4%、総蛋白 7.8g/dL、アル ブミン 4.5g/dL、IgG 1,687mg/dL(基準 960~1,960)、IgA 283mg/dL(基準 110~410)、IgM 102mg/dL(基準 65~350)、尿素窒素 12.3mg/dL、クレアチニン 0.71mg/dL。
この患者の腎生検所見(PAS 染色,中拡大)を示す。

蛍光抗体法では糸球体に有意な沈着はない。
この時点で否定的な疾患はどれか。
| 1 | IgA腎症 |
| 2 | 菲薄化基底膜病 |
| 3 | Alport症候群 |
| 4 | 肥満腎症 |
| 5 | 膜性腎症 |
| a (1,2) | b (1,5) | c (2,3) | d (3,4) | e (4,5) |
解答:b (1,5)
解説
血尿をきたす疾患を鑑別する問題である。病歴より、蛋白尿のみられない血尿で、やや肥満のある中年女性である。腎生検の弱拡大像では、糸球体硬化や増殖性変化はなく、蛍光抗体法でも有意な沈着はないことから、まず、血尿の代表的な疾患である1のIgA腎症は否定される。また、5の膜性腎症も蛋白尿がない病歴や蛍光抗体法で陰性のことから否定される。2の菲薄化基底膜病は光顕からは診断できない。3のAlport症候群はX染色体性では女性の場合ヘテロ接合体となり,中年以降に軽度の血尿や蛋白尿で精査されることが比較的多い。やはり、電顕での診断が必要である。4の肥満腎症は,光顕所見では高率に糸球体の肥大を認め、時に分節性硬化病変を認め、FSGSのカテゴリーに分類される場合がある。本症例の光顕所見では、糸球体に顕著な肥大はないが、係蹄が細かく数が増加しており、糸球体過剰濾過の病態も考えられるので、この段階では否定はできない。
問題9.
70歳男性。15年来の糖尿病があり、2か月前の血清クレアチニンは 1.5mg/dL(eGFR 36.8mL/min/1.73m)であった。3日前から発熱があり、呼吸苦が出現したため来院、市中肺炎と敗血症の診断で入院となった。乏尿性急性腎障害と急性呼吸窮迫症候群(ARDS)が出現したため気管挿管の上、人工呼吸管理を必要とした。動脈血液ガス分析は、FiO2 0.7の条件下で pH 7.10、PaO2 59mmHg、PaCO2 60mmHg、HCO3- 18mEq/Lであった。血液検査所見:Na 138mEqL、K 5.2mEq/L、Cl 100mEq/L、クレアチニン 5.2mg/dL、BUN 90mg/dL。
以下の記述のうち、不適切なものはどれか。1つ選べ。
| a | 混合性アシドーシスである |
| b | 呼吸不全が改善しなければ炭酸水素Na液の補充は許容される |
| c | 呼吸性アシドーシスに対し十分な代償性変化が認められる |
| d | 高K血症の進行が懸念されるので、心電図モニターを行う |
| e | 持続緩徐式血液浄化療法(CRRT)の適応がある |
解答:c
解説
血液ガス分析、酸塩基平衡に関する基本的な理解と、アシドーシスに対するアルカリ補充適応に関する知識を問う問題である。pH7.10とアシデミアであり、HCO3-が低下、PaCO2が増加しているので、代謝性アシドーシス、呼吸性アシドーシスの両者が加味した混合性アシドーシスである。急性呼吸性アシドーシスに対する代償性変化は不十分である。乏尿性急性腎障害であり、今後病態の悪化に伴い高K血症の進行が懸念されるので、心電図モニターを行うことは妥当である。高度の代謝性アシドーシス、乏尿性急性腎障害があり、体液・電解質バランス異常の進行が予想される。持続緩徐式血液浄化療法(CRRT)の適応がある。アシドーシスの治療は基礎疾患の治療が優先されるが、pH<7.2の高度アシドーシスにおいては、アシドーシス自体の有害作用を懸念し、アルカリ補充が許容される。しかし、単純性呼吸性アシドーシスに対するアルカリ補充によって、CO2産生が高まり呼吸性アシドーシスの悪化を招く可能性があるから適応外である。一方、高度の混合性アシドーシスやpermissive hypercapniaに対しては、高度アシドーシスが心血管や中枢神経系に及ぼす影響を緩和するために慎重なアルカリ補充が許容されることもある1-3)。
参考文献
1) Adrogué HJ, Madias NE. Alkali Therapy for Respiratory Acidosis: A Medical Controversy. Am J Kidney Dis. 75:265-271、2020
2) Acute Respiratory Distress Syndrome Network, R.G. Brower, M.A. Matthay, et al.
Ventilation with lower tidal volumes as compared with traditional tidal volumes for acute lung injury and the acute respiratory distress syndrome. N Engl J Med, 342:1301-1308, 2000
3) Barnes T, Zochios V, Parhar K. Re-examining Permissive Hypercapnia in ARDS: A Narrative Review. Chest. 154:185-195, 2018
問題10.
カリウム・バランスを調整する機序として、摂取されたカリウムの約9割が尿中に、約1割が便中に排泄されている。便中へのカリウム排泄は健常人で約 10mEq/日であるが、下痢などで便中カリウム排泄が増加する。腸管からのカリウム排泄に関する以下の記述のうち、不適切なものを1つ選べ。
| a | 慢性維持血液透析患者では便中のカリウム排泄が増加する |
| b | 腸管からのカリウム排泄はBKチャネルを介して行われる |
| c | 鉱質コルチコイド大量投与で便中カリウム排泄が増加する |
| d | 腹膜透析患者の便中カリウム排泄量は健常人と同等である |
| e | コレラなどの重症感染性下痢では便中カリウム排泄が健常人の10倍を超える。 |
解答:d
解説
腸管からのK排泄に関する知識を問う問題である。健常人では、摂取したKの約1割が便中に、約9割が尿中に排泄される。透析患者では、大腸からのK分泌が亢進し、CAPD患者で健常人の2倍、血液透析患者で3倍になると報告されている1)。大腸でのK吸収は、H,K-ATPaseを介して、大腸でのK分泌はBKチャネルを含む種々のKチャネル介して輸送される2)。透析患者と健常人を対象とした大腸からのK分泌に関する研究では、透析患者ではBKチャネルを介したK排泄が増加することが報告されている3)。
参考文献
1) Sandle GI. Evidence for large intestinal control of potassium homeoeostasis in uraemic patients undergoing long-term dialysis. Clinical Sciece 73:247-252, 1987
2) Sorrensen MV. Colonic potassium handling. Pflugers Arch 459:645-656, 2010
3) Mathialahan T, Maclennan KA, Sandle LN, et al. Enhanced large intesitinal potassium permeability in end-stage renal disease. J Pathol 506:46-51, 2005
問題11.
体液量欠乏性ショックで救急搬送された25歳男性。体重50㎏。基礎疾患はない。血圧 70/40mmHg、呼吸数 20/分、脈拍 110回/分。血清Na濃度が110mEq/Lのとき、1Lの生理食塩液を1時間で投与した場合、血清Na濃度は以下のどれに近くなるか。1つ選べ。ただし、治療中の不感蒸泄、尿中への水分・電解質の排泄はなく、体水分量は体重の50%と仮定する。
| a | 120 |
| b | 115 |
| c | 112 |
| d | 110 |
| e | 105 |
解答:c
解説
高度の低Na血症を放置した場合、脳浮腫、脳ヘルニアの危険があるが、過度の急速補正は浸透圧性脱髄症候群を招く危険がある。近年は、数値補正目的の治療ではなく、神経学的な症状の有無と程度に応じた補正が推奨されている(1)。本症例では、神経症状の有無と程度が示されていないが、症状がある場合でも、24時間で10mEq/lを超えない補正が安全である。この症例は、体液量減少性ショックに対し、細胞外液製剤を用いた初期輸液が必要だが、細胞外液製剤の投与によって血清Na値が急上昇しないか心配になるだろう。輸液製剤投与後の血清Na濃度の変化値を予測する式として、AdrogueとMadiasらが次の予測式を提唱した(2)。
Δ血清Na=(輸液Na濃度ー血清Na濃度)÷(体水分量+1)
生理食塩液を1L投与した場合、Δ血清Na=(154-110)÷(体水分量+1)となる。
体水分量を体重の5割(25L)とすればΔ血清Na=44÷26=1.69となり、血清Na濃度は111.7と予想される。設問の中でもっとも近いものはc 112mEq/lとなる。AdrogueとMadiasの予測式は、輸液中の不感蒸泄や尿中への水分、電解質喪失を無視しているが、本症例のように急速な輸液投与が必要な場合の血清Na濃度の変化を予測するには有用である。
参考文献
1)Spasovski G, Vanholder R, Allolio B,et al. Hyponatraemia Guideline Development Group: Clinical practice guideline on diagnosis and treatment of hyponatraemia. Nephrol Dial Transplant 29[Suppl 2]: i1-i39, 2014
2) Adrogué, H.J., Madias, N.E. Hyponatremia. N Engl J Med. 342: 1581-1589, 2000
問題12.
妊娠中患者の降圧、血液浄化療法について正しいものはどれか。1つ選べ。
| a | 透析時間は20時間/週以上とする |
| b | 透析前BUN<70mg/dlを維持する。 |
| c | 妊娠中透析患者へのESA投与は禁忌である。 |
| d | 高血圧合併患者では非妊娠時の降圧薬を継続する。 |
| e | 維持透析からの妊娠例は妊娠後透析導入例より生児獲得率は高い。 |
解答:a
解説
妊娠時血液浄化療法は胎児への影響も考慮した治療が必要となる。
維持透析、妊娠中新規透析導入患者いずれも、頻回透析を行う必要があり、週透析時間が15~19時間より20時間以上を維持することで妊娠継続期間や生児獲得率の改善が認められる。
透析時間以外にも、透析前BUN値のコントロールが重要になる。高BUN血症をきたすと胎児に多尿が生じるようになり、羊水過多を合併することが知られている。これを防ぐためには透析前BUN<50mg/dlが管理目標値になる。
妊娠中で鉄剤投与でも改善しない腎不全患者の貧血についてはESA製剤の投与が推奨されている。腎機能正常妊婦でも妊娠後期には体液量増加による希釈性のHb低下を来す事が知られている。このため、妊娠透析患者でも非妊娠時よりは低めのラインでの貧血管理目標が設定されており、妊娠高血圧症候群の診療指針2015では、腎性貧血にはESA投与によりHb>8.0g/dl、ヘマトクリット>30~35%を維持することが必要と記載されている。
高血圧症合併患者では、妊娠中は使用が安全とされているメチルドパ、ラベタロール、ヒドララジンが、また20週以降では徐放性のニフェジピンによるコントロールが推奨されている。また、ACE阻害薬やARBは臓器形成期など妊娠初期に催奇形性をもたらすことから妊娠時の使用は禁忌となる。
維持透析からの妊娠は長期透析などにより動脈硬化などの合併症を来しているため、妊娠中に透析導入となった妊婦と比較し生児獲得率が低いことが報告されている。
問題13.
腎性貧血の治療として誤っているものの組み合わせはどれか。
| 1 | ESA低反応性を呈する患者には、ESA高用量投与が望ましい。 |
| 2 | シャント閉塞が頻回な症例はESA製剤からHIF-PH阻害薬へ変更する。 |
| 3 | 成人腹膜透析患者の治療目標値はHb11g/dl以上13g/dl未満である。 |
| 4 | 活動性糖尿病性網膜症を合併している患者にはHIF-PH阻害薬の使用は避ける。 |
| 5 | 鉄補充中の透析患者は、血清フェリチン300ng/ml以上で鉄剤補充を休止する。 |
| a (1,2) | b (1,5) | c (2,3) | d (3,4) | e (4,5) |
解答:a (1,2)
解説
腎性貧血の治療は保存期と透析導入後、また合併症などにより治療法が異なる点を理解しておく必要がある。
ESA治療抵抗性患者では高用量のESAの投与を行うことで脳血管障害などの合併頻度が上昇し生命予後の悪化を来す。このような症例では、ESAを単に増量する以外にも貧血治療抵抗性の原因を検索し合わせて治療することが必要である。
本邦における透析患者の鉄補充についてはESA投与中の患者で血清フェリチン<100μg/LまたはTSAT<20%で鉄補充が推奨されている。また、フェリチン>300μg/Lを超える鉄補充は推奨されない。
HF-PH阻害薬については2020年日本腎臓学会より「HIF-PH阻害薬適正使用に関するrecommendation」が発表されており糖尿病性網膜症、加齢黄斑変性症、悪性腫瘍、血栓塞栓症合併患者などに使用する場合には、それらの疾患の経過を注意深く経過観察する必要性が強調されている。また、血栓閉塞症については深部静脈血栓症や肺塞栓、心筋梗塞、脳梗塞に加えてバスキュラーアクセス血栓症の既往がある患者へのHIF-PH阻害薬投与は慎重に考慮することが求められている。
問題14.
(不適切問題のため削除)
血漿交換療法について正しい組み合わせはどれか。
| 1 | 本邦においてANCA型急速進行性糸球体腎炎は保険適用外である |
| 2 | 新鮮凍結血漿で置換する場合、高カルシウム血症に注意する |
| 3 | アルブミン製剤には凝固因子や免疫グロブリンが含まれていない |
| 4 | 単純血漿交換療法の置換液量は循環血漿量の1~1.5倍が目安である |
| 5 | 二重濾過血漿交換療法の置換液には新鮮凍結血漿が必要である |
| a (1,2) | b (1,5) | c (2,3) | d (3,4) | e (4,5) |
解答と解説(不適切問題のため解説はなし)
問題15.
EPOCH-JAPAN研究は、血圧レベル別の脳心血管病死亡ハザード比を明らかにしている。本研究による中壮年者(40歳から64歳)のデータで、集団全てが120/80mmHg未満であった場合に、予防できたと推定される脳心血管病死亡者の割合(集団寄与 危険割合)は、次のうちどの程度と推定されているか。1つ選べ。
| a | 約10% |
| b | 約20% |
| c | 約30% |
| d | 約40% |
| e | 約60% |
解答:e
解説
EPOCH-JAPAN研究は、国内の10コホートをメタ解析した研究であり、血圧レベル別の脳心血管病死亡ハザードを計算したものである。中壮年者では、120/80mmHg未満と比較すると、それ以上の血圧群では、脳心血管病死亡ハザードが有意に増加している。140/90mmHg以上の高血圧群ではそのハザード比が3倍にまで増加し、また180/110mmHg以上のIII度高血圧ではそのハザード比は9倍となり、中壮年層で高血圧がいかに重要な危険因子であるかがわかる。中壮年者の集団寄与危険割合(PAF)は、60.3%とされ、血圧をしっかりとコントロールすることができれば、中壮年層の脳心血管病の多くを防ぐことができることになる。なお、65歳から74歳の前期高齢者や75歳から89歳の後期高齢者においても、PAFはそれぞれ、49.3%、23.4%になるので、高齢者においても血圧管理は大切である。
問題16.
高血圧治療ガイドライン2019における「診察室血圧に基づいた脳心血管病リスク層別化」で、リスク第二層となるリスク因子に含まれていないものはどれか。1つ選べ。
| a | 男性 |
| b | 喫煙 |
| c | 肥満 |
| d | 65歳以上 |
| e | 脂質異常症 |
解答:c
解説
診察室血圧に基づいた脳心血管病のリスク層別化では、早期から治療が必要な高リスクであるかどうかを明らかするために、リスク層と血圧区分による層別化を行っている。
年齢(65歳以上)、男性、脂質異常症、喫煙の4つの危険因子のうち、ひとつでもあれば、リスク第二層になる。これらの危険因子が3つ以上あるとリスク第三層となるので注意する。リスク第三層では、高値血圧からIII度高血圧まで、すべて高リスクとなるが、リスク第二層ではII度とIII度高血圧は高リスクとなるが、高値血圧とI度高血圧は中等リスクである。
リスク第二層で高リスクであれば、すぐに降圧薬による治療を開始するが、中等リスクの場合は、生活習慣の修正(非薬物療法)を1ヶ月程度行い、それでも適切な降圧が得られない場合は、降圧薬を用いることを検討する。
よって、C 肥満は、このリスク第二層の項目にないので間違いである。
問題17.
わが国の保存期慢性腎臓病(CKD)G3からG5期患者における貧血について正しいのはどれか。1つ選べ。
| a | G5期では約40%にESA(赤血球造血刺激因子製剤)が使用されている. |
| b | CKD G5患者では80%以上で貧血が認められる. |
| c | 女性患者は男性患者より有意に血中ヘモグロビン値が高い. |
| d | G4とG5期をあわせた患者の約50%で血中ヘモグロビン値が適正な範囲にある. |
| e | 保存期CKD患者において,鉄剤以外に経口腎性貧血治療薬は使用できない. |
解答:d
解説
わが国における慢性腎臓病と貧血の関連について問うている.主に,J-CKD-DBの貧血に関する報告を参照した.
a G5期では22.4%にESA製剤が使用されていた.1)
b G5期患者では60.3%に貧血が認められた.1)
c 女性患者では血中ヘモグロビン値が有意に低かった.1)
d G4 と G5 期をあわせた患者の51.7%で血中ヘモグロビン値が適正範囲であった.1)
e 保存期CKDにおいてもHIF-PH阻害薬が使用可能である.
参考文献
1)Sofue T, Nakagawa N, Kanda E, et al. Prevalence of anemia in patients with chronic kidney disease in Japan: A nationwide, crosssectional cohort study using data from the Japan Chronic Kidney Disease Database (J-CKD-DB). PLoS ONE 15(7): e0236132. https://doi.org/10.1371/journal.pone.0236132
問題18.
CKDステージG3b以降の患者において、腎機能悪化や死亡リスクの抑制の観点から、薬物療法開始が推奨されている血清尿酸値はどれか。1つ選べ。
| a | 6.0mg/dL以上 |
| b | 7.0mg/dL以上 |
| c | 8.0mg/dL以上 |
| d | 9.0mg/dL以上 |
| e | 10.0mg/dL以上 |
解答:c
解説
CKD患者における血清尿酸値のコントロールについて問う問題である.CKDステージG3b以降の患者において、腎機能悪化や死亡リスク抑制の観点から、無症候性であっても血清尿酸値が8.0mg/dL以上から薬物治療が推奨されている。生活指導は7.0mg/dLを超えたら行い、治療開始後は6.0 mg/dL以下に維持することが望ましい。
参考文献
エビデンスに基づくCKD診療ガイドライン2018 日本腎臓学会編
問題19.
SGLT2阻害薬による腎保護作用の機序として想定されるもののうち正しいのはどれか。1つ選べ。
| a | 輸出細動脈の拡張 |
| b | 輸入細動脈の収縮 |
| c | ケトン体産生低下 |
| d | NADPH oxidase 発現増加 |
| e | レニン・アンジオテンシン系の抑制 |
解答:b
解説
SGLT2阻害薬は近位尿細管におけるNa+-グルコース共輸送を阻害するが、これによってmacula densaに到達するNa+およびCl-が増加し、尿細管糸球体フィードバックにより輸入細動脈が収縮する。この変化によりもたらされる糸球体内圧の低下が長期的な腎保護作用につながると考えられている。この点、輸出細動脈を拡張させるレニン・アンジオテンシン系抑制治療とは糸球体内圧低下という点で共通すると考えられる。一方、SGLT2阻害薬はケトン体形成を促すことが知られており、特に1型糖尿病患者への投与によるケトアシドーシスの発生に注意喚起がなされている。糖尿病モデルマウスや動脈硬化モデルマウスに対して投与した際にNADPH oxidase発現を抑制させることが示されている。SGLT2阻害薬によるレニン・アンジオテンシン系への影響については定まったものはないが、体液量が軽度減少することから、血漿レニン活性は抑制される方向には動かないと考えられる(注:増加したアンジオテンシンIIがAT2受容体を介して作用することにより臓器保護的な効果を及ぼすとする説もある)。また、腎内レニン・アンジオテンシン系に及ぼす影響については不明である。以上からone bestを選択するとbが正解となる。
問題20.
常染色体多発性囊胞腎(ADPKD)について正しいのはどれか。1つ選べ。
| a | ADPKDに対する蛋白質摂取制限の有効性には明確なエビデンスが存在している。 |
| b | 脳動脈瘤の初回のスクリーニングで脳動脈瘤が認められない場合、その次のスクリーニングのタイミングは約3〜5年後が提案されている。 |
| c | 急速に進行する成人ADPKD患者に対してはトルバプタン治療は推奨されない。 |
| d | REPRISE試験ではトルバプタンによる総腎容積増大抑制効果が示されている。 |
| e | すべてのADPKD患者に対して110/75mmHg未満への厳格な降圧療法を目指すことが提案されている。 |
解答:b
解説
2020年8月に「エビデンスに基づく多発性囊胞腎(PKD)診療ガイドライン2020」が発出された。このガイドラインの内容に関する問題である。
a 現時点でADPKD患者に対する蛋白質摂取制限については、腎機能障害進行抑制効果などの有効性を示す明確なエビデンスは存在しない。
b 脳動脈瘤の精査・フォローアップについては、その有用性に関する明確なエビデンスは存在しないものの、頭部単純MRアンギオグラフィ(MRA)によるスクリーニングの実施が提案されており、初回のMRAで脳動脈瘤がない場合でも3〜5年ごとのMRAの実施が提案されている。
c ADPKDの治療にトルバプタンが試用可能となっているが、今回のガイドラインでは推奨グレード1Aで「急速に進行する、もしくは急速な進行が予想される成人ADPKD患者に対し、利尿に伴う有害事象に留意し、肝機能検査値をモニターしたうえで、腎機能低下の抑制を目的としたトルバプタン治療を推奨する」とされている。
d REPRISE試験のエンドポイントには総腎容積増大が含まれていない。
e ADPKD患者の降圧治療については、副作用の頻度を考慮し、50歳未満でeGFR>60 mL/分/1.73m2かつ降圧療法に忍容性がある患者に限って110/75mmHg未満への厳格な降圧療法の実施が提案されている。