専門医制度
2021(R3)年度 腎臓専門医更新のためのセルフトレーニングの解答と解説
腎臓専門医の皆様へ(2022年1月11日付)
昨年11/8付で掲載いたしました2021(R3)年度セルフトレーニング問題の正解と解説を掲載いたします。
ご多忙のなか約480 名の応募がありました。ご協力をいただき誠にありがとうございました。
採点結果は3月下旬頃(予定)に「郵送」いたします。
海外から応募の先生はメールにてご連絡いたします。
ご不明な点がありましたら,担当の西村(nishimura@jsn.or.jp)までご連絡下さい。
※手数料2,000 円はいかなる場合も返金出来かねますこともご了承下さい。
教育・専門医制度委員会
委員長:鈴木 祐介
委員:門川俊明、和田健彦、田中哲洋
出題者(五十音順):赤井靖宏,大橋温,小山雄太,小松康宏,今田恒夫,齋藤修,志水英明,竹田徹朗,土井研人,西慎一,西野友哉,花岡一成,平和伸仁,本田一穂,和田健彦
(1), (2), (3)は連問。(1)と(2)のそれぞれに図あり
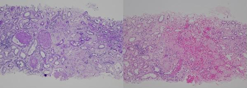
42歳の女性。腎機能障害の精査加療のため入院。現病歴:1ヵ月前より、頻尿,発熱,大腿部の筋痛が出現。発熱の増悪と大腿部の点状発赤が出現し,近医を受診し,CK4150, Cr3.18, 血小板2.3万,横紋筋融解による腎不全が疑われ,同日紹介入院となった。既往歴:光線過敏症。家族歴:特になし。 現症:身長 154cm、体重 48kg、体温 37.8℃。脈拍 78/分、整。血圧 140/90mmHg。呼吸数 24/分。頸部,腋窩リンパ節を触知。胸腹部に異常なし。下腿に浮腫はない。尿所見:蛋白 2+、糖 (-)、潜血 3+。沈渣:赤血球 50~100/視野、白血球 20~50/視野、赤血球円柱 10~20/全視野。血液学所見: 赤血球 329万、 Hb 10.6g/dL、白血球 5,600、 血小板 2.9万。血液生化学所見: HbA1c 5.5%、 総蛋白 5.7g/dL、 アルブミン 2.8g/dL、 IgG 1,280mg/dL(基準 960~1,960)、 IgA 240mg/dL(基準 110~410)、 IgM 240mg/dL(基準 65~350)、 尿素窒素 86mg/dL、 クレアチニン 6.4mg/dL、 尿酸 10.5mg/dL、 総コレステロール 180mg/dL、 トリグリセリド 106mg/dL、 AST 14IU/L、 ALT 22IU/L、 LD 540IU/L(基準 176〜353)、γ-GTP 112IU/L(基準 8~50)、Na 136mEq/L、K 5.5mEq/L、Cl 104mEq/L、 Ca 8.9mg/dL、P 6.1mg/dL。免疫血清学所見:CRP 3.6mg/dL。抗核抗体×320、抗ds-DNA抗体1.0 IU/ml、抗Sm抗体<1.0 U/ml、抗RNP抗体 <2.0U/mL、C3 42mg/mL、C4 18mg/mL、CH50 30.2 U/mL。胸部エックス線で肺野に浸潤影多発。胸部単純CTで両側の肺炎と胸水貯留、腋窩・傍大動脈リンパ節腫大 腹部CT:肝脾腫あり,腎萎縮なし。腎機能障害の原因精査のため腎生検を施行。
腎生検の弱拡大(左:PAS染色,右:HE染色)を示す。光顕所見として正しいのはどれか。
解答:a
| 1 | 糸球体の壊死が目立つ |
| 2 | 尿細管の壊死が目立つ |
| 3 | 間質の出血が目立つ |
| 4 | 間質の炎症細胞浸潤が目立つ |
| 5 | 間質の線維化が目立つ |
| a (1,2,3) | b (1,2,5) | c (1,4,5) | d (2,3,4) | e (3,4,5) |
解説
本症例は急激な腎機能障害を来した中年女性症例で、腎生検で出血性の腎皮質壊死があり、その原因として細小動脈レベルに内膜の浮腫性肥厚による閉塞を認めている。腎の細小動脈に閉塞を来す疾患には、悪性高血圧、結節性多発動脈炎、強皮症腎クリーゼ、薬剤性TMA、コレステリン塞栓症などがあるが、それぞれの血管病変は組織学的に異なった特徴がある。ここではまず、動脈閉塞によって引き起こされる腎皮質壊死の病理所見を確認する。光顕弱拡大では糸球体や尿細管が凝固壊死に陥っており、間質に強い出血を伴っている。炎症細胞浸潤はほとんどなく、急激な経過で起こった出血性梗塞の所見である。急性期では間質は浮腫性であるが、線維化はまだ出現していない。
(2)
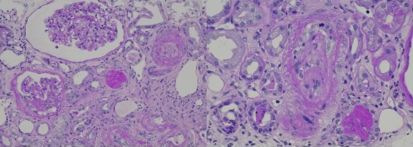
腎生検の拡大像(左:PAS染色×200,右×400)を示す。血管病変の所見として正しいのはどれか。
解答:b
| 1 | 細動脈レベルの病変である。 |
| 2 | 血管腔が閉塞している。 |
| 3 | 中膜のフィブリノイド壊死がある。 |
| 4 | オニオンスキン様の病変である。 |
| 5 | 内膜に浮腫と炎症細胞浸潤がある。 |
| a (1,2,3) | b (1,2,5) | c (1,4,5) | d (2,3,4) | e (3,4,5) |
解説
次にこの症例の血管病変の特徴を拡大して観察する。まず、病変の主座は小葉間動脈の末梢から輸入細動脈にかけての細小動脈レベルである。内膜が肥厚して内腔が閉塞していることが分かる。左の写真のように内膜の肥厚が浮腫性で粘液様に見える場合、mucoid intimal thickeningと表現され、強皮症の腎クリーゼの時にしばしば出現する。右の写真のように細動脈の内膜に炎症細胞浸潤とフィブリン血栓が観察されると、抗リン脂質抗体症候群の内膜病変(TMA)の可能性も出てくる。悪性高血圧もこのレベルの血管に内膜傷害をきたし、しばしば中膜や外膜に波及するフィブリノイド壊死を来す。この症例では中膜は保たれ、フィブリノイド壊死とは言えない。オニオンスキン様の内膜肥厚は高血圧性動脈硬化症でよく見られる所見で、もう少し中枢の小葉間動脈や弓状動脈が好発部位である。弾性線維染色を行うと弾性線維と膠原線維の多層化で確認される。この症例では中枢レベルの血管は含まれておらず、またオニオンスキン様の変化も確認できない。
(3)
血管病変の成因として考えられるものはどれか。
解答:d
| 1 | 結節性多発動脈炎 |
| 2 | 悪性腎硬化症 |
| 3 | 強皮症腎クリーゼ |
| 4 | 抗リン脂質抗体症候群 |
| 5 | コレステリン塞栓症 |
| a (1,2) | b (1,5) | c (2,3) | d (3,4) | e (4,5) |
解説
この症例の血管病変の病理所見からは、まず、コレステリン塞栓症は、コレステリン結晶が見られないことから除外される。また、結節性多発動脈炎は、血管の全層に及ぶフィブリノイド壊死や炎症細胞浸潤もないことから否定的である。侵される血管レベルがどちらかと言えばさらに中枢の太い血管で、病変も散在性であることを考慮すると考えにくい。さらに、臨床的情報からは悪性高血圧とするような血圧でなく、否定的である。自己免疫疾患を示唆する検査所見からも、強皮症と抗リン脂質抗体症候群の可能性が高いと結論される。
(4)
C3腎症の主病態はどれか。1つ選べ。
解答:a
| a | 補体第二経路異常 |
| b | 補体古典経路の活性化 |
| c | ライソゾーム酵素欠損 |
| d | 糸球体への免疫複合体沈着 |
| e | 基底膜構成蛋白の遺伝子異常 |
解説
膜性増殖性糸球体腎炎像を呈するものの中に、免疫グロブリンの沈着や補体古典経路の因子(C1q,C4)の沈着を伴わずに補体C3のみの沈着を認める糸球体腎炎があることが報告されC3腎症と呼ばれるようになった。近年では、C3の染色性が優位であれば,他の免疫グロブリン・古典経路の補体因子の染色性が弱陽性程度認められてもC3腎症と呼称される。主病態としては、補体第二経路の異常な活性化が指摘されており、遺伝子異常に起因するC3の機能獲得型変異、C3およびC4 nephritic factor(C3NeF,C4NeF)の出現、B因子に対する自己抗体、H因子やH因子関連蛋白(CFHR)の異常などが報告されている。一方、同様の病理所見をとる免疫複合体沈着に伴う膜性増殖性糸球体腎炎では,免疫複合体沈着に伴い補体古典経路が活性化した病態と考えられている。
(5)
寛解導入されたANCA関連RPGNの維持療法として適切なのはどれか。
解答:c
| 1 | シクロフォスファミド |
| 2 | リツキシマブ |
| 3 | アザチオプリン |
| 4 | ミゾリビン |
| 5 | タクロリムス |
| a (1,2) | b (1,5) | c (2,3) | d (3,4) | e (4,5) |
解説
MAINRITSAN試験において、ANCA関連RPGNの維持療法として、アザチオプリンよりもリツキシマブの方が、死亡率、再燃率において優位性が示された。RPGNガイドライン2020におけるCQ4において『寛解導入された ANCA 関連 RPGN の維持療法として、副腎皮質ステロイドとアザチオプリンよりも副腎皮質ステロイドとリツキシマブの使用を提案する。リツキシマブが使用しづらい場合は、アザチオプリンの使用を提案する』(推奨グレード2D)となった。導入がシクロフォスファミド(CY)の場合には維持療法はアザチオプリンかメトトレキサート、導入がリツキシマブ(RTX)の場合にはそのままRTXを選択することが推奨されている。
1)維持療法ではシクロフォスファミドは用いられない。
2)維持療法におけるリツキシマブの有効性はアザチオプリンよりも高く、推奨されている。
3)標準的な維持療法として推奨されている。
4)ミゾリビンについては有効性を認める報告もあるが保険適応はなくガイドライン上も推奨されていない。
5)本疾患の維持療法には用いられない。
(6)
非糖尿病慢性腎臓病かつ正常アルブミン尿の患者が登録条件に含まれている大規模臨床試験はどれか。1つ選べ。
解答:e
| a | EMPA-REG OUTCOME試験 |
| b | CANVAS Program |
| c | CREDENCE試験 |
| d | DAPA-CKD試験 |
| e | EMPA-KIDNEY試験 |
解説
近年、SGLT2阻害薬は心血管イベント抑制に加えて腎機能低下抑制効果が示され注目されている。その重要なエビデンスを示した大規模臨床試験に関して、対象となった患者背景を問う問題である。エビデンスを踏まえて薬剤の投与対象を考える際に重要な情報である。
糖尿病の有無およびeGFR, UACRに関する各試験の登録条件は以下の通りである。
a EMPA-REG OUTCOME試験:2型糖尿病患者・eGFR ≧30 mL/min/1.73m2
b CANVAS program:2型糖尿病患者・eGFR≧30 mL/min/1.73m2
c CREDENCE試験:2型糖尿病患者・30≦eGFR[mL/min/1.73m2]<90, 300 < UACR [mg/gCr] ≦ 5000mg/gCr
d DAPA-CKD試験:2型糖尿病の有無は問わず・25≦eGFR[mL/min/1.73m2]≦75, 200≦ UACR [mg/gCr] ≦5000
e EMPA-KIDNEY試験
• 2型糖尿病の有無は問わず(それぞれ全被験者の1/3以上になるように登録)
• 20≦eGFR[mL/min/1.73m2]<45、45≦eGFR[mL/min/1.73m2]<90かつUACR[mg/gCr]≧200、のいずれか
参考文献
Herrington WG, et al. Clin Kidney J 2018; 11: 749-761
(7)
ネフローゼ症候群におけるリツキシマブによる治療について正しいのはどれか。1つ選べ。
解答:e
| a | 膜性腎症に保険適用がある |
| b | 自己注射製剤が使用される |
| c | 催奇形性のため妊婦には禁忌である |
| d | Infusion reactionが出現することは稀である |
| e | B型肝炎の既往感染例ではHBV DNA量のモニタリングが必要である |
解説
リツキシマブは、ほぼすべてのBリンパ球に発現するCD20に対するモノクローナル抗体である。小児の頻回再発あるいはステロイド依存性ネフローゼ症候群への有効性が報告され、小児では頻回再発あるいはステロイド依存性ネフローゼ症候群に保険適用となった。一方で、成人においては頻回再発あるいはステロイド依存性ネフローゼ症候群における保険適用は認められておらず、本原稿作成時点では医師主導治験が進行中である。
a. ×。近年、膜性腎症においてもリツキシマブの有効性が多く報告されているが、わが国での保険適用はまだ無い。
b. ×。リツキシマブは点滴にて投与する薬剤であり、小児では半年ごとに4回投与される。
c. ×。妊婦または妊娠している可能性のある婦人には投与しないことが望ましいとされるが、催奇形性は証明されていない。
d. ×。投与後30分〜2時間後よりinfusion reactionが出現することがあり、予防策を行い慎重に観察する必要がある。
e. ○。B型肝炎ウイルスキャリアの患者又は既往感染者(HBs抗原陰性、かつHBc抗体又はHBs抗体陽性)で、B型肝炎ウイルスの再活性化による劇症肝炎又は肝炎があらわれることがあるため、HBV DNA量のモニタリングが必要となる。
(8)
日本人の膜性腎症に関し正しいのはどれか。1つ選べ。
解答:e
| a | 血中抗PLA2R抗体陽性率は80%である。 |
| b | 血中抗THSD7A抗体が抗PLA2R抗体より陽性率が高い |
| c | 免疫染色では抗PLA2R抗体は糸球体内皮細胞に反応する |
| d | 血中抗PLA2R抗体は尿蛋白陽性後に追随して上昇する |
| e | 血中抗PLA2R抗体が陰性化しない症例は治療抵抗性である |
解説
近年、商業ベースで血中抗PLA2R抗体の測定ができるようになった。また、免疫染色で抗PLA2R抗体を用いると膜性腎症の糸球体係蹄免疫複合体が陽性反応を示す。日本人ではいわゆる原発性膜性腎症例の血中抗PLA2R抗体陽性率は50%前後で、海外症例より陽性率が低い。血中抗THSD7A抗体の陽性率はさらに低く5%前後である。一般に血中抗PLA2R抗体は蛋白尿が陽性化し増加する前に免疫学的に先行して陽性となると言われている。また、ステロイド薬などで治療しても血中抗PLA2R抗体が陰性化しない症例は治療抵抗性を示すと言われている。
(9)
糖尿病における代謝異常に関して、誤っているのはどれか。1つ選べ。
解答:a
| a | シトクロムcの発現上昇を認める。 |
| b | ミトコンドリアの代謝異常が生じる。 |
| c | トリプトファン代謝物は糖尿病による腎障害進展に関与する。 |
| d | 腸内細菌により産生されるフェニル硫酸は、腎障害進展マーカーである。 |
| e | アシル CoA がカルニチンと結合したアシルカルニチンは、腎障害で上昇する。 |
解説
糖尿病では、様々な代謝異常が報告され、病態との関連が解析されている。b〜cはいずれも近年病態との関連が報告されている内容である。シトクロムcは、発現低下が報告されている。
参考資料
日腎会誌 2020;62(3):130‒137.
(10)
34歳男性。健診にて腎機能障害を指摘されたため来院した。家族歴として父親、父の姉、父方の祖父が透析をしている。既往歴として痛風発作のために治療を受けたことがある。身長172cm、体重61kg。脈拍70/分、整、血圧128/72 mmHg。尿所見:尿蛋白(-)、潜血(-)。血液所見:尿素窒素36mg/dL、クレアチニン2.9mg/dL、尿酸10.3mg/dL、Na 138mEq/L、K 5.3 mEq/L、Cl 106 mEq/L、CRP 0.3 mg/dL。CTにて腎臓のサイズは正常範囲内である。本症例の診断に最も有用な検査を選べ。
解答:d
| 1 | MRI |
| 2 | PET-CT |
| 3 | 腎生検 |
| 4 | 遺伝子診断 |
| 5 | レノグラム |
| a (1,2) | b (1,5) | c (2,3) | d (3,4) | e (4,5) |
解説
若年で家族歴があり、尿所見がほとんどなく、痛風の既往がある疾患である。これらの所見から常染色体優性遺伝性尿細管間質性腎疾患(ADTKD)が推定される。ADTKDは常染色体優性遺伝形式をとり、尿所見に乏しく腎機能が緩徐に進行し、青年期〜老年期に末期腎不全に至る疾患の総称である。病理組織所見では、間質の線維化や尿細管基底膜の肥厚は層状化し、尿細管萎縮があり、時に微小嚢胞を認める。本疾患は臨床所見ではなく責任遺伝子に基づいて分類されており、確定診断には遺伝子解析を行うことが望ましい。
(11)
60歳男性。嘔吐、嘔気、錯乱状態で救急外来に搬送された。救急外来に到着後、30秒間の全身性強直性痙攣がみられた。身体診察所見では体液減少なく、明らかな体液過剰状態でもなかった。血圧 120/75mmHg、脈拍 84/分、呼吸数 15回/分。血液検査所見:TP 7.0g/dL、Alb 4.2g/dL、BUN 10mg/dL、Cr 0.9mg/dL、Na 108mEq/L、K 4.0mEq/L、血糖 95mg/dLであった。尿浸透圧 460mOsm/Kg・H2O。血液ガス分析:pH 7.40, PaO2 100mmHg, PaCO2 40mmHg, HCO3- 24mEq/L, Na 107mEq/L, K 3.8mEq/L。
治療法として最も適切なものを1つ選べ。
解答:c
| a | 乳酸リンゲル液を1L/時間で投与する |
| b | 生理食塩液を1L/時間で投与する |
| c | 3%食塩液 100mLを10~30分で投与する |
| d | フロセミドを静脈投与する |
| e | トルバプタンを投与する |
解説
ADHの過剰分泌ないし過剰作用によって尿が濃縮し、自由水が貯留したことによる低Na血症、SIADHと考えられる。緊急検査装置の多くは間接法であり、高蛋白血症や高脂血症などで偽性低Na血症を示すことがあるが、本例では緊急検査所見でも、血液ガス分析検査装置でのNaともに低Na血症を示しており、偽性低Na血症は否定的である。本症例では、痙攣、嘔吐、意識障害などの重篤な症状を呈する低Na血症であり、2013年の欧州集中治療学会、腎臓学会、内分泌学会合同のガイドラインによればcが妥当な選択となる。
Spasovski G. Hyponatraemia Guideline Development Group: Clinical practice guideline on diagnosis and treatment of hyponatraemia. Nephrol Dial Transplant 29[Suppl 2]: i1-i39, 2014
(12)
22歳女性。就職時の健診で、高血圧を指摘されたため来院した。
現病歴:大学入学時の健診で高血圧を指摘されたが、兄も大学時代から指摘されていたので、医療機関を受診しなかった。家族歴:父:高血圧、脳出血、兄:高血圧
現症:身長 158.5cm、体重 52.2kg、体温 36.4℃。脈拍 76/分、整。血圧 172/98mmHg。呼吸数 14/分。
検査所見:尿所見: 蛋白 (-)、 糖 (-)、 潜血 (-)、尿K 82mEq/L/日。血液学所見: Hb 12.4g/dL、 白血球 4,300、血小板 22.8万。血液生化学所見:空腹時血糖 96mg/dL、アルブミン 4.1g/dL、尿素窒素 18mg/dL、クレアチニン 0.9mg/dL、Na 138mEq/L、K 3.0mEq/L、Cl 102mEq/L、HCO3- 30mEq/L。内分泌検査所見:血漿レニン活性 (PRA) 0.4 ng/mL/hr、血漿アルドステロン 5pg/mL
この患者の病態に最もあてはまる原因疾患はどれか。1つ選べ。
解答:a
| a | Liddle症候群 |
| b | Bartter症候群 |
| c | Gitelman症候群 |
| d | 原発性アルドステロン症 |
| e | グルココルチコイド反応性アルドステロン症(GRA) |
解説
若年発症の家族性高血圧、低カリウム血症、代謝性アルカローシスの症例。尿からのカリウム排泄は82mEq/L/日>20mEq/L/日と亢進している。
鑑別として、原発性アルドステロン症(低レニン、高アルドステロン)、グルココルチコイド反応性アルドステロン症(GRA) (低レニン、高アルドステロン)、悪性高血圧(高レニン、高アルドステロン)、Cushing 症候群(低レニン、低アルドステロン)、Liddle 症候群(低レニン、低アルドステロン)等があげられる。
本症例は低アルドステロン、低レニンであり、原発性アルドステロン症およびGRAは否定的となり、家族歴も濃厚であり常染色体優性遺伝形式をとるアミロライド感受性Naチャンネル(ENaC)の変異が原因であるLiddle 症候群が考えられる。
なお、Bartter 症候群、Gitelman 症候群は、低カリウム血症、代謝性アルカローシスを認めるが、通常高血圧を伴わず血圧は正常ないし低血圧で、高レニン,高アルドステロン血症を呈するため否定的である。
(13)
腎硬化症について正しいのはどれか。1つ選べ。
解答:b
| a | 病初期から尿蛋白排泄量が増加する。 |
| b | 糸球体前血管の血管抵抗が上昇する。 |
| c | 降圧目標は収縮期血圧120mmHg未満である。 |
| d | レニン・アンジオテンシン系阻害薬が第一選択である。 |
| e | 2019年末の統計では透析導入原因疾患の第三位である。 |
解説
腎硬化症は透析導入の原因疾患として一貫して頻度が上昇しており、日本透析医学会の2019年末の統計では、慢性糸球体腎炎を抜いて原因疾患の第二位となった。中高年での血圧コントロールがいまだ不十分であることの傍証と思われる。
a. ×。腎硬化症では1.0 g/gCrを超える尿蛋白がみられる頻度は少ない。
c. ×。厳格な血圧コントロールは推奨されていない。
d. ×。レニン・アンジオテンシン系阻害薬の優位性は証明されておらず、カルシウム拮抗薬や利尿薬を第一選択としても良い。
e. ×。原因疾患の第二位である。
参考文献
エビデンスに基づくCKD診療ガイドライン2018
高血圧診療ステップアップ
日本透析医学会編 わが国の慢性透析療法の現況(2019年12月31日現在)
(14)
以下の薬剤誘発性高血圧に関する記述で誤っているのはどれか。
解答:b
| 1 | 非ステロイド性抗炎症薬による高血圧は、COX-2選択的阻害薬の方が安全性が高い。 |
| 2 | 抗VEGF抗体による高血圧は、細小血管床減少やNO産生低下による末梢血管抵抗の増加が重要である。 |
| 3 | カルシニューリン阻害薬による高血圧は、K負荷時に抑制される遠位尿細管のNa-Cl共輸送体を活性化してNaCl再吸収が亢進することによる。 |
| 4 | 甘草による高血圧は、腎集合管で11β-水酸化ステロイド脱水素酵素2型(11β-HSD2)を阻害してコルチゾール作用を増強することによる。 |
| 5 | Hypoxia inducible factor-prolyl hydroxylase (HIF-PH)阻害薬には、エリスロポエチンのような高血圧の副作用はないと考えられる。 |
| a (1,2) | b (1,5) | c (2,3) | d (3,4) | e (4,5) |
解説
薬剤誘発性高血圧の機序について、最新の知見を含め理解を問う問題である。
1)非選択的NSAIDsとCOX-2阻害薬の心血管系への有害作用については選択性の有無ではなく、COX-1とCOX-2の抑制比、組織特異的COX分布などに関連し、非選択的NSAIDsとCOX-2選択的阻害薬使用時には同等の注意が必要である。
2)正しい。
3)正しい。
4)正しい。
5)エリスロポエチンによる高血圧はヘマトクリット値の上昇、血液粘稠度増加に伴う末梢血管抵抗の上昇などが考えられるが、腎性貧血に用いられるHIF-PH阻害薬も同様の注意が必要である。
(15)
80歳女性。腎機能低下指摘を主訴に来院した。半年前より高血圧症(155/90mmHg)と骨粗しょう症に対して、テルミサルタン20mg/日、エルデカルシトリオール0.75μg/日の投与が開始された。投与前は血清クレアチニン 0.88 mg/dlであった。半年後の採血で血清クレアチニン 2.12 mg/dlを認めて腎臓内科に紹介された。
脈拍 88/分、整。血圧 152/90mmHg。尿所見:蛋白 (-)、潜血 (-)。α1ミクログロブリン 5.6 mg/l (基準値 <20 mg/l)。血液学所見:赤血球 385万、Hb 12.2g/dL、白血球 6,800、血小板 20万。血液生 化学所見: クレアチニン 2.22mg/dL。
腎機能低下の原因として、関与が考えられる病態または薬剤はどれか。1つ選べ。
解答:a
| a | エルデカルシトール |
| b | 急性間質性腎炎 |
| c | 急速進行性糸球体腎炎 |
| d | テルミサルタン |
| e | 慢性糸球体腎炎 |
解説
高齢者に対するビタミンD製剤による高カルシウム血症による腎障害の症例。腎機能低下の鑑別として、検尿異常、尿細管障害を伴わないため、血行動態を介する病態が疑われる。ARBによる糸球体内圧低下が腎機能低下に寄与している可能性もあるが、血圧が以前と比べて明らかに低下していないこと、体調の変化がなくsickな状態でなく脱水に陥いる二次的な要因は明らかでない。以上より、病歴と現症から高カルシウム血症が隠れていることを疑って評価するべき症例である。エルデカルシトールは半減期が長く、他のビタミンD製剤よりも高カルシウム血症をきたしやすい。
(16)
85歳男性。今後使用される麻薬・オピオイド選択について緩和ケア担当医の指示で受診した。2年前に肺がんと診断され、外科手術が施行され、その後化学療法が開始された。3か月前に脳転移と大動脈周囲ならびに縦郭へのリンパ節転移を指摘され、緩和ケア病棟に入院中である。疼痛の訴えが強く、通常の鎮痛薬では効果が乏しいため麻薬・オピオイドの使用が検討されている。20年前から高血圧を、10年前からCKDを指摘され、カンデサルタン 8mg/日を内服中。腎機能はこの半年間は安定して経過している。
身長170cm、体重60kg。脈拍72/分、整。血圧140/82 mmHg。胸部に手術痕があるが、腹部に異常はない。尿所見:蛋白(-)、潜血(-)。血液生化学所見:尿素窒素26 mg/dL、クレアチニン1.8 mg/dL、eGFR 28.5 mL/分/1.73m2、Na 136 mEq/L、K 5.2 mEq/L、Cl 103 mEq/L。
本例の麻薬・オピオイド使用について正しいのはどれか。1つ選べ。
解答:e
| a | モルヒネが第一選択薬である。 |
| b | フェンタニルは使用禁忌である。 |
| c | ブプレノルフィンは使用禁忌である。 |
| d | メサドン開始前には心エコー検査が必要である。 |
| e | ヒドロモルフォンの使用時は、投与間隔を延長することが推奨される。 |
解説
腎機能低下CKD患者の麻薬・オピオイド選択について問うている。
a モルヒネとその代謝物は腎機能低下者では体内に蓄積して副作用頻度が高くなるため、第一選択薬とはされない。
b 半減期は正常腎機能者と変わらないとされ、腎機能低下者でも使用できる。
c 血中半減期はCKD患者で非CKD患者と変化はないとされ、使用可能である。
d 腎機能低下者では電解質異常などを有することが多く、副作用であるQT時間延長を合併しやすい。メサドン使用前には心電図チェックが必須である。
e 最低用量から開始することや投与間隔を延長することなどが推奨される。
参考文献
Koncicki HM et al.: An approach to pain management in end stage renal disease:
Considerations for general management and intradialytic symptoms. Semin Dial 28: 384-391, 2015
Davison SN: Clinical pharmacology considerations in pain management in patients with advanced kidney failure. Clin J Am Soc Nephrol 14: 917-931, 2019.
(17)
52歳男性。慢性腎不全で維持透析を行っており、合併症として心房細動と心室性期外収縮を治療している。透析後の動悸を主訴に来院した。
現病歴:2ヵ月前より食欲低下が出現し、透析時目標体重を徐々に1.0kg下げていた。1週間前より透析前の呼吸苦や浮腫は自覚しなかったが透析後に動悸を訴えるようになった。中2日透析前現症:身長 168cm、体重 62kg、透析間体重増加0.8kg、体温 36.2℃。脈拍 78/分、不整。血圧 132/78mmHg。呼吸数 20/分。
中2日透析前の検査所見:血液学所見:赤血球 350万、Hb 12.6g/dL、白血球 6,000、血小板 18万。血液生化学所見:総蛋白 5.5g/dL、アルブミン 2.4g/dL、尿素窒素 48mg/dL、クレアチニン 11.2mg/dL、 尿酸 6.2mg/dL、Na 140mEq/L、K 3.0mEq/L、Cl 108mEq/L、Ca 8.0mg/dL、P 3.8mg/dL。透析条件:透析時間4時間、血流量280ml/min、使用ダイアライザーII-b型、膜面積2.1m2、抗凝固薬ヘパリン750単位/時。
Holter心電図の結果、心室性期外収縮が増加していることが判明し循環器内科医よりβブロッカーの増量が行われたが、透析後の症状に変化がなかった。
追加する治療法として正しいのはどれか。
解答:c
| 1 | 透析時間を5時間にする。 |
| 2 | 透析血流量を200ml/minにする。 |
| 3 | 経口カリウム吸着薬を休薬する。 |
| 4 | エリスロポエチン製剤を増量する。 |
| 5 | 抗凝固薬をナファモスタットへ変更する。 |
| a (1,2) | b (1,5) | c (2,3) | d (3,4) | e (4,5) |
解説
血液透析患者のシック・デイとそれに応じた透析条件の変更を問う問題。除水目標体重(ドライウェイト)は食思不振の長期化などにより下げる事は一般によく知られているが、カリウムやリンなどの著しい低下には透析条件の変更も重要である。本症例では透析前のカリウムが3.0mEq/Lになっていることから透析後のカリウムは更に低下している事が予測される。特に本症例のようなAfやPVCのような不整脈がある患者にとっては透析後カリウム値が4.0mEq/Lを保つことにより頻拍性不整脈の低減が期待できる。
1. × 体重増加は少なく除水困難症ではないことから時間延長は不要であり、むしろ低カリウム血症を増強してしまうため時間短縮を検討する。
2. ○ 低分子であるカリウムは血流量を下げることにより除去効率低下が期待できる。
3. ○ 経口カリウム吸着薬を内服している場合は透析間の低カリウム血症遷延を生じる危険性が高いことから休薬が望ましい。
4. × 本症例のHbは低値ではなく動悸の原因として貧血は考えにくい。
5. × ナファモスタットの副作用として高カリウム血症が認められている。これは腎でのカリウム排泄能の低下に起因するとされているが透析患者ではこのような効果が期待できず透析患者での高カリウム血症合併率も0.01%以下で治療方法としては期待できない。
(18)
高カルシウム血症を引き起こしうる背景因子を選択せよ
解答:d
| 1 | 減塩食 |
| 2 | 低タンパク食 |
| 3 | 中心静脈栄養 |
| 4 | オフライン血液濾過透析 |
| 5 | 血漿交換 |
| a (1,2) | b (1,5) | c (2,3) | d (3,4) | e (4,5) |
解説
中心静脈栄養を受けている患者はベッドレストの時間が長い例が多く、それでなくとも破骨細胞性骨吸収が亢進するポテンシャルを持っている。加えて、中心静脈栄養レジメに天然型ビタミンD製剤が加えられていることも稀ではなく、漫然と同じレジメを持続するとしばしば高カルシウム血症を誘発する。わが国で頻用されているオフライン血液濾過透析用の置換液はカルシウム濃度が3.5mEq/Lであり、これも漫然と使用し続けると高カルシウム血症に至るリスクがある。減塩食、低タンパク食には高カルシウム血症に至るリスクはなく、血漿交換では新鮮凍結血漿製剤に含まれるクエン酸のキレート効果のため、しばしば低カルシウム血症を誘発する。
(19)
妊娠中の腎疾患患者において、腎機能の評価のために最も適切な検査はどれか。1つ選べ。
解答:b
| a | 血清クレアチニン |
| b | クレアチニンクリアランス |
| c | 血清シスタチンC |
| d | 推算糸球体濾過量 |
| e | 血清β2マイクログロブリン |
解説
妊娠中の腎機能の評価方法を問う問題である。正常妊娠では、血清クレアチニン値は低下することが一般的である。臨床的には、蓄尿によるクレアチニンクリアランスを測定することが、GFRの推測に望ましいとされている。蓄尿ができない場合は、個々の相対的な変化としてeGFRでも簡易的に評価できるが、現在のところ妊娠中のeGFRと真の糸球体濾過量(GFR)との関係は十分な検討がなされていない。非妊娠の成人においては、シスタチンCはクレアチニンよりもGFRをより正確に反映すると考えられているが、妊娠高血圧症では胎盤から産生されているとの報告があり、妊娠高血圧症との関連が示唆されている。また、妊娠中のシスタチンCはイヌリンクリアランスと関連しなといとの報告もあり、シスタチンCは妊娠での腎機能の指標としては適切でないと考えられている。血清β2マイクログロブリンもGFR低下とともに増加するが、一般的にも血清クレアチニン値よりも真のGFRとの相関は低い。従って、最も適切な検査はクレアチンクリアランスである。
参考文献
腎疾患患者の妊娠診療ガイドライン2017 CKD患者の妊娠管理 p36-39
(20)
59歳男性。発熱、浮腫、呼吸苦を主訴に来院した。
現病歴:数か月前より下腿浮腫を自覚していた。入院1週間前より全身倦怠感と37.5℃の微熱が出現した。近医にて右胸水、CRP上昇、肝障害、腎障害を指摘され入院となった。
既往歴:健診で脂肪肝、高尿酸血症、リウマチ因子陽性を指摘されていた。これまで尿検査異常を指摘されたことはない。
現症:身長 165cm、体重 79kg(平時から10kg増加)、体温 37.9℃。脈拍 98/分、整。血圧 149/81mmHg。右下肺呼吸音減弱。腹部で波動を認める。著明な両側上下肢浮腫を認める。
尿所見:蛋白 1+、潜血 1+。沈渣に赤血球 1~4/視野、顆粒円柱多数。随時尿タンパク/Cr比 0.3g/gCr。血液学所見:赤血球 568万、Hb 17.3g/dL、白血球 8,400、血小板 2.9万。血液生化学所見:総蛋白 6.3g/dL、アルブミン 2.8g/dL、IgG 866mg/dL(基準 960~1,960)、IgA 173mg/dL(基準 110~410)、IgM 173mg/dL(基準 65~350)、尿素窒素 59.4mg/dL、クレアチニン 4.08mg/dL、Na 140mEq/L、K 4.6mEq/L、Cl 104mEq/L。免疫血清学所見:CRP 19.3mg/dL、MPO-ANCA陰性、PR3-ANCA陰性。
画像検査で、縦隔リンパ節の軽度の腫大と、著明な両側胸水と骨盤内の腹水の貯留を認める。
本症例を診断するにあたり有用な検査はどれか。1つ選べ。
解答:a
| a | IL-6 |
| b | IgG4 |
| c | sIL-2R |
| d | 抗HIT抗体 |
| e | ADAMTS-13 |
解説
TAFRO症候群は2013年に提唱された疾患概念で、血小板減少(Thrombocytopenia)、全身性浮腫/胸水/腹水(Anasarca)、発熱(Fever)、骨髄細網線維化(Reticulin fibrosis)、臓器腫大/肝腫大/脾腫/リンパ節腫大(Organomegaly)の各頭文字を取って命名された。リンパ節病理像はキャッスルマン病と類似し、一部臨床像も特発性多中心性キャッスルマン病(iMCD)と似るためiMCDの一亜型とも言われる。現在は、①体液貯留(胸・腹水、全身性浮腫)②血小板減少③原因不明の発熱を必須項目、①リンパ節生検でのCastleman病様所見②骨髄線維化③軽度の臓器腫大(肝・脾腫、リンパ節腫大)④進行性の腎障害を小項目として、必須項目3項目+小項目2項目以上を満たす場合に診断する。(ただし、悪性リンパ腫などの悪性疾患を除外する必要あり。)IL-6やVEGFなどのサイトカインが炎症や血管透過性を誘導していると考えられ、血液・胸水・腹水中のIL-6やVEGFの上昇がみられる。そのほかの選択肢は鑑別診断を行う上での有用性はあるが、TAFRO症候群に特異的に陽性となる検査項目ではない。